Pet Periodontal Therapy

Periodontics

Is your beloved pet showing signs of periodontal disease? At Animal Dental Care & Oral Surgery, we understand the importance of maintaining your pet’s oral health. Periodontal disease poses a significant threat to the supporting structures of the tooth, such as the bone and periodontal ligament, leading to bone loss. It is the most prevalent cause of dental issues in mature dogs and cats, affecting a majority of pets aged five years and older.

Our Commitment to Your Pet’s Well-being:

At Animal Dental Care & Oral Surgery, we specialize in the treatment and prevention of periodontal disease. Our team of experts employs comprehensive, anesthetized dental procedures, including scaling, polishing, root planing, gingival surgery, and guided tissue regeneration. These advanced techniques ensure thorough and effective care for your pet’s dental health.

 

Take the first step toward ensuring your pet’s dental well-being. Contact us today to schedule an appointment or inquire about our services. Trust Animal Dental Care & Oral Surgery for compassionate and professional care for your pet’s oral health.

Periodontal Disease Diagnosis & Treatment

Ensuring the well-being of your pet involves addressing hidden oral concerns that may be causing discomfort without immediate notice. Our commitment to the proper diagnosis and treatment of periodontal disease aims to alleviate oral pain and significantly enhance your pet’s overall quality of life.

Periodontal disease often lurks beneath the gum line, unseen to the naked eye. It is triggered by bacterial infection and the subsequent response of the patient to this infection. Our specialized treatment focuses on eliminating voids under the gums, which trap debris and infectious materials. Procedures may include the reduction of overgrown gums, surgical exposure of roots, meticulous cleaning of all tooth surfaces, and the use of graft materials to replace missing bone.

Identifying Hidden Issues: Small lesions can sometimes lead to significant problems, and the absence of loose teeth does not necessarily mean there is no underlying issue or discomfort. To guide appropriate treatment for periodontal disease, dental radiographs are indispensable. Our commitment to thorough evaluation ensures that potentially painful problems do not go undetected.

Surgical Treatment for Deeper Concerns: In instances of advanced periodontal disease with bone loss, surgical intervention becomes crucial for regenerating bone, healing voids under the gum line, and preserving vital teeth. Our expertise in “open root planing” creates an environment conducive to the natural regeneration of the tooth’s supporting tissues.

At Animal Dental Care & Oral Surgery, we prioritize your pet’s oral health, providing comprehensive and compassionate care.

Gingival Hyperplasia

Overgrown gum tissues are a frequent concern, particularly among breeds such as boxers, and can be induced by certain medications. This condition often allows debris to accumulate beneath the gum line, potentially leading to periodontal issues. Fortunately, our comprehensive approach focuses on the surgical removal of overgrown tissues, offering a highly effective solution to this form of periodontal disease.

At Animal Dental Care & Oral Surgery, we employ cutting-edge technology to enhance the treatment process. Utilizing a state-of-the-art radiosurgical unit, we perform precise surgical procedures with minimal bleeding. This not only ensures a comfortable experience for your pet but also accelerates the healing process, promoting optimal recovery of the gum tissues.

 

Contact us today to schedule a consultation or inquire about our services.

Hidden Dental Disease Likely Lurks Below Your Pet’s Gumline

In the realm of comprehensive periodontal care, the utilization of dental radiographs stands as an indispensable tool. This advanced imaging technology plays a pivotal role in guiding accurate diagnoses and formulating tailored treatment plans to address various dental conditions.
Without the use of these detailed X-ray images, subtle yet potentially painful issues may go unnoticed, hindering the prompt detection and management of oral health concerns.

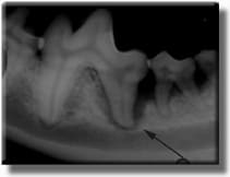
Radiograph reveals severe bone loss and an abscessed tooth hidden beneath the gumline.

Half of the lower jaw bone has been destroyed by infection under the gum line, and the tooth required extraction. This process took years to occur, but was hidden under the gum line, out of view. If this had been caught sooner, the tooth could have been treated.

Request an Appointment

Please request an appointment by completing the form below or by calling 719-536-9949.