27 Nov Treating a Tooth Abscess in a Dog or Cat
It can mean many different things when we say a dog or a cat has a tooth abscess. Oxford defines an abscess as “a swollen area in a body tissue containing pus.” While an abscess always results from a bacterial infection, not all infections result in an abscess. We have to ask what part of the tooth or the tissues surrounding the tooth are infected and has it truly resulted in swelling and an accumulation of pus.
Where & Why Do Tooth Abscesses Occur
The apex, or root tip, is the most common location for an abscess to happen. The most common cause is endodontic disease, or infection of the pulp of a tooth. Pulp tissue is found in the pulp cavity of each tooth and is made up mostly of blood vessels and nerves. A pulp infection most often occurs when the crown of a tooth is fractured, and the pulp chamber is exposed. This allows bacteria to have a free passage through the pulp cavity down to the apex of the root. If left untreated, this will always result in an abscess around the root apex.
Sometimes crown fractures that do not expose the pulp cavity, but do expose the dentin below the crown’s enamel, can result in an abscess if the pulp is not able to protect itself and seal the dentin internally. Occasionally, the pulp can become infected without a crown fracture when bacteria enter the pulp through the bloodstream. The classic presentation of this type of dental abscess is when a dog or cat presents with a swollen face from an abscess of a maxillary (upper jaw) tooth. Sometimes the swelling can progress to the point where the abscess actually ruptures through the soft tissues of the face. You can imagine how painful this process is!
Treating Abscessed Teeth in Dogs & Cats
When an endodontic pulp infection takes place there are only two treatment options. Root canal therapy removes the infected pulp tissue and disinfects the pulp canal. The canal is then filled with a dental filling material through a process called obturation. The entrance to the canal is then sealed with dental composite material. Fractured teeth treated with root canal therapy are often prepared for a metal crown which is fabricated and cemented in place about 2 weeks later.
Root canal therapy is most often performed on the most strategically important teeth, including the canine (fang) and carnassial teeth. When this procedure is performed by a veterinary dental specialist, it has a very good prognosis and most often will last the lifetime of the pet.
If root canal therapy is not chosen, the only other option is to perform a surgical extraction of the tooth. This most often involves some type of surgical incision, removal of surrounding bone and complete extraction of the crown and root or roots of a tooth. The extraction site is then closed with suture material that dissolves over 2-4 weeks.
The decision between root canal therapy and surgical extraction can be difficult for a pet owner. While recovery from a root canal is far easier on a pet than extraction, the only wrong treatment decision with an endodontically infected tooth is to do nothing and leave this painful abscessed tooth in place.

Figure 1 – An upper canine (fang) tooth radiograph with a large abscess around the apex of the tooth root.

Figure 2 – A cone beam computed tomography image of an abscessed left upper canine tooth.

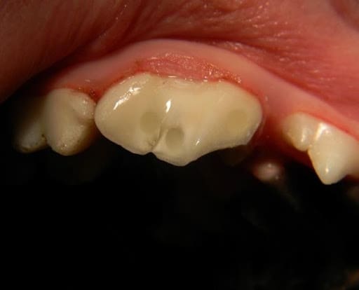
Figure 3 – A previously abscessed upper 4th premolar that has been successfully treated with root canal therapy.
Periodontal Disease and Abscessed Teeth
Can periodontal disease cause a tooth to be abscessed? Sometimes it can. Periodontal disease starts at the margin of the gumline when plaque bacteria infect the gingival tissues and progress down the root of the tooth. Plaque bacteria cause an intense reaction of the immune system that results in the breakdown of the bone and soft tissues around a tooth. If the infection progresses all the way down to the tip of a root, a true abscess may occur and result in the pulp becoming infected through the apex rather than the crown of a tooth. This is often referred to as a “perio-endo” infected tooth.
Teeth that have periodontal infection can often be treated and saved if the infection has not excessively destroyed surrounding tissues and infected the pulp. However, periodontally infected teeth that have become “perio-endo” teeth most often should be surgically extracted.

Figure 4 – A mandibular molar with severe periodontal disease that has progressed all the way to the tip of each root. Note the absence of all other local teeth that have already been lost to periodontal infection.
Can Antibiotics Treat an Abscessed Tooth?
It is important to note that antibiotics are not a viable option when a tooth is abscessed. They will never cure an abscessed tooth by themselves and are considered an adjunctive therapy only. If there is truly a swollen area filled with pus and causing pain from the pressure of the swelling, antibiotics may give symptomatic relief for a short period of time, but will only result in recurrence of the dental abscess soon after discontinuing the drug. The risk of bacterial resistance to antibiotics is very real on a global scale and only worsens with excessive antibiotic usage.
Preventing Painful Dental Disease
How much better is it to prevent these painful infections in our pets if we can? While crown fractures sometimes are unavoidable, they often result from pets being given inappropriate chew toys or bones that are too hard for teeth. Periodontal disease is most often totally preventable with daily, at-home dental care and regular dental cleanings under anesthesia by your veterinarian.
Sadly, pets with abscessed teeth often go undiagnosed and suffer in silence. Our dogs and cats manifest pain so differently than humans. Even our domesticated pets have strong instincts still intact. To show pain is to show weakness; to show weakness is to be more susceptible as prey. While our dogs and cats may not have any natural predators in their lives, it still goes against their predator-prey instincts to show that they hurt. Even more profound is the fact that most pets that are dealing with a tooth abscess still quite often have a normal appetite. Their survival instinct to eat is so strong they simply will not give it up.
Board-Certified Veterinary Dentist in Colorado
If you believe your dog or cat may be dealing with a tooth abscess or some other type of dental infection, please call us at (719)270-3091 to schedule a consultation with one of our board-certified veterinary dentists or dental residents. The doctors and staff at Animal Dental Care and Oral Surgery have locations in Colorado Springs and Castle Rock to help you care for the dental needs of your precious pets.