11 Apr Overbites and Underbites (Malocclusions) in Dogs and Cats
Occlusion is defined as the relationship between the teeth of the maxilla (upper jaw) and mandibles (lower jaw). When this relationship is abnormal a malocclusion results and is also called an abnormal bite or an overbite in dogs and cats.
The mouth is split into quadrants: left maxilla, right maxilla, left mandible and right mandible. Each quadrant of the mouth in both dogs and cats contains incisors (I), canines (C), premolars (PM) and molars (M).
In the normal, aligned mouth, the left and right side mirror each other. Dogs have a total of 42 adult teeth and cats have 30 adult teeth. The normal occlusion of a dog and cat mouth are similar. Below we’ll share how malocclusions can affect both canines and felines.
Understanding Underbites and Overbites in Dogs & Cats
To be able to identify an abnormal bite, a veterinarian must first understand what normal is.
The Anatomy of An Aligned Bite
- The incisors of the maxilla slightly overlap the mandibular incisors so that the lower incisors gently rest behind the upper incisors (see Figure 1).
- The lower canine tooth rests between the maxillary canine and the 3rd incisor.
- Both the upper and lower canines are slightly tipped (angled) to the outside.
- The premolar teeth of the maxilla and mandible do not contact one another.
- The premolars of the maxilla and mandible form a sawtooth pattern with each other (see Figure 2).
- The upper 4th premolar (maxilla), lines up with the lower 1st molar tooth. These are the carnassial teeth.
- The upper 4th premolar tooth rests on the cheek side of the lower 1st molar.
- The 2 molar teeth in the maxilla line up with the 2nd and 3rd molar teeth in the mandible and have a similar occlusion as people.
- The cusps of each crown come together and serve to grind food.
A malocclusion in that case, is either a tooth in an abnormal position and/or the misalignment of the maxilla and mandible with respect to one another.’
Categories of Malocclusions
Malocclusions are divided into 4 different classes.
Class I Malocclusion
A Class I malocclusion takes place when one or more teeth are in an abnormal position, but the maxilla and mandibles are in a normal relationship with each other. A Class I tooth may be pointing in the wrong direction or rotated.
Class II Malocclusion
Class II malocclusions are considered overbites in dogs and cats; the mandible is short with respect to its normal position with the maxilla.
Class III Malocclusion
Class III malocclusions are considered underbites in dogs and cats; the mandibles are longer in respect to their normal relationship to the maxilla. Class III malocclusions are commonly seen in brachycephalic dogs (boxers, pugs, boston terriers, etc).
Class IV Malocclusion
Class IV malocclusions result from asymmetrical development of the maxilla or mandibles. The asymmetry of this malocclusion results in skeletal malformations leading to a side to side malalignment.
Cat Overbites & Underbites
While cats do not get malocclusions nearly as frequently as dogs, they are not free from this problem. When present, felines malocclusions tend to be more severe and can cause more problems. There is a definitely a breed predisposition for cats with malocclusions. Persians and Himalayan cats tend to have a higher incidence of malocclusions, most frequently underbites.
Just as with dogs, cats with malocclusions should always be evaluated by a veterinarian and treated if their bite is traumatic and causing them pain. Malocclusions are frequently diagnosed in kittens. These abnormal bites are often painful and the sooner they are treated, the better the prognosis for gaining a pain-free and functional bite.
What Can You Do if Your Pet Has an Overbite or Underbite?
Malocclusions can result in an abnormal bite which can affect function and result in pain. Malocclusions predispose the patient to periodontal disease, endodontic (pulp) disease and oral trauma.
Our belief at Animal Dental Care and Oral Surgery is that all pets deserve a pain-free and functional bite. In most situations, the earlier a malocclusion is diagnosed the better the prognosis.
Class II and class III malocclusions are skeletal abnormalities resulting from abnormal development of the maxilla and mandible. It is rarely possible to restore the maxilla and mandibles to a normal relationship with each other, but it is always possible to permanently relieve pain that these malocclusions cause.
Although complete correction of certain teeth misalignments may not be possible, there is always something we can do to improve the functionality of the bite and make the patient comfortable. For best results, it is important to recognize a malocclusion as early as possible.
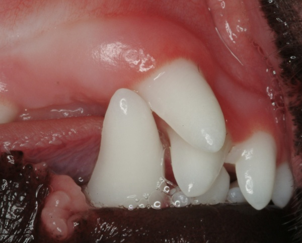
Figure 1. Normal occlusion of the canine mouth.
The upper incisors slightly overlap the lower incisors and the lower canine teeth sit between the upper canine teeth and the upper 3rd incisors.

Figure 2. A view of the left side of the canine mouth in the closed position.
The upper incisor teeth slightly overlap the lower incisors. The lower canine tooth (fang) sits between the upper canine tooth and 3rd incisor. The premolar teeth do not touch each other and form zigzag-like pattern between the upper and lower premolars. The large upper 4th premolar tooth rests on the cheek side of the lower first molar. This tooth is also known as the upper carnassial tooth. The molars are not visible in this image.

Figure 3. Type I malocclusion.
Known as a canine overbite, the upper canine tooth is sitting in front of the lower canine tooth and is pointed forward. This is referred to as a mesioverted or “lance” canine tooth. Compare this image to the normal occlusion in figure 2.

Figure 4. Type II malocclusion.
Also known as a canine overbite, the lower jaw is much shorter than normal (compare to Figure II)

Figure 5. Type III malocclusion.
Known as a canine underbite, the lower incisors are in front of the upper incisors and the lower canine tooth is resting against the back of the upper 3rd incisor. This bite is common in brachycephalic breeds, such as boxers and pugs.

Figure 6. Type IV malocclusion.
Each side of the mandible developed at different rates resulting in a deviation to the left side. Note how the right lower canine is poking into the palate (roof) of the mouth. This is a significant source of pain for this patient.

Does your pet in Castle Rock, Colorado Springs or Loveland, CO have an overbite or underbite?
Contact us today at (719) 536-9949!
Images in post taken from AVDC website
Main Image by
Image by Rudy and Peter Skitterians from Pixabay (11/18/2019)